 Иллюстрация / Фото: из открытых источников
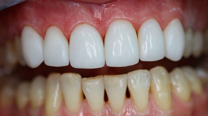
Установка качественных виниров поможет вернуть эстетику улыбке.
В последнее время довольно большое количество людей выбирают виниры. И для их установки они посещают TRIOMED Club. Обусловлено это тем, что стоматологи, которые работают в данном центре, не только правильно выберут виниры, но и произведут их установку.
Почему установку виниров стоит доверять специалистам из TRIOMED Club?
Решение поставить виниры в минске https://triomedclub.by/uslugi/protezirovanie/viniryi-laminatyi-ultraniryi.html в TRIOMED Club будет весьма рациональным. Отдавая предпочтение сотрудничеству со стоматологией, можно рассчитывать на получение нескольких весомых преимуществ:
- Перед тем как проводить какие-либо мероприятия, профессионалы предварительно проводят комплексную диагностику. Так, осмотром и обследованием занимается не только ортопед, но и стоматолог, хирург.
- Процесс лечения отличается высоким уровнем комфорта. Для того чтобы снизить вероятность возникновения резкой боли, профессионалы проводят специальные процедуры, к примеру, местную анестезию.
- После установки профессионалы в течение установленного срока контролируют, насколько хорошо приживаются виниры. Для этого назначают несколько контрольных посещений. Для оценки ситуации используют соответствующий стоматологический инструмент.
Показания к установке виниров
Потребность в установке виниров может возникнуть в нескольких случаях:
- Отслеживаются незначительные изменения прикуса.
- Зубы имеют небольшие сколы либо они частично разрушены.
- Зубная эмаль стремительно стирается.
- Установлены пломбы, которые выделяются значительными размерами, поэтому их можно довольно легко заметить.
Какие виниры устанавливают?
На данный момент для изготовления виниров используют разнообразные виды материалов. Но наибольшей популярностью пользуется несколько основных вариантов.
- Керамические виниры выделяются не только высоким уровнем качества, но и продолжительным сроком использования (не менее 15 лет). Они имеют естественный и привлекательный вид.
- Более дешевый вариант – композитные виниры. Средний срок эксплуатации таких стоматологических изделий составляет около 5-8 лет. Их установка занимает относительно немного времени.
В некоторых случаях есть потребность в установке ультравиниров, для изготовления которых использована высококачественная керамика. Подобные микропротезы выделяются привлекательным видом, относительно небольшой толщиной, а также продолжительным сроком эксплуатации. Их установку осуществляют только профессионалы с большим опытом.
|