После смерти в мозге начинают активно работать определенные гены зомби: исследование | |
![]() Фото: из открытых источников Выяснилось, что "гены зомби" работают в специфических клетках микроглии
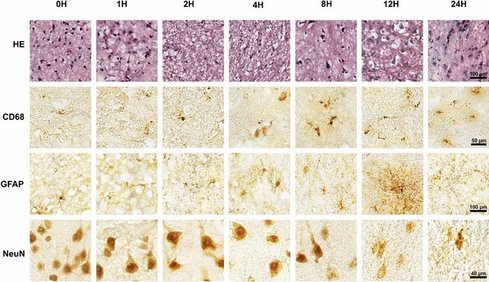
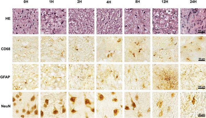
В некоторых клетках головного мозга после смерти человека нарастает активность генов – и эти клетки увеличиваются до внушительных размеров. Такое открытие сделали биологи из Иллинойского университета в Чикаго, их статья вышла в номере Scientific Reports.Авторы в течение 24 часов с момента "смерти" анализировали состояние образцов свежего неокортекса, которые собирали во время обычных операций на головном мозге. При комнатной температуре отслеживались изменения на клеточном уровне в зависимости от промежутка времени после "смерти". Выяснилось, что "гены зомби" работают в специфических клетках микроглии (собирательное название для клеток-макрофагов центральной нервной системы), которые прежде всего занимаются очисткой своей "зоны ответственности" от вредных веществ и повреждений при инсультах, кислородном голодании и так далее. Во время исследования авторы заметили, что эти клетки растут и выпускают длинные отростки даже спустя много часов после смерти хозяина. Пик посмертных изменений наступает, по их данным, примерно через 12 часов. В целом, после смерти в течение нескольких часов происходит избирательное и быстрое снижение экспрессии генов, регулирующих нейрональную активность (мышление, память, т.д.). При этом относительно сохраняется активность генов "домашней уборки", отвечающих за базовую регуляцию в ткани, а гены, регулирующие работу глиальных клеток, проявляют наибольшую активность. Ученых такое открытие не поразило: если учесть функцию глиальных клеток, после смерти хозяина повреждения, которые они пытаются устранить, нарастают экспоненциально, – им есть чем заняться. Постмортем-исследования тканей мозга важны для поиска методов лечения и потенциальных лекарств от болезни Альцгеймера, аутизма, эпилепсии, шизофрении и других патологий. | |
|
24.03.2021 в 18:49 615 Наука | |
Сегодня читают
| Комментариев: 0 | |
Войдите, чтобы оставить комментарий.

