Ученые хотят "разбудить" доисторический вирус, которому примерно 30000 лет | |
|
Исследователи обнаружили его потенциально полезные качества
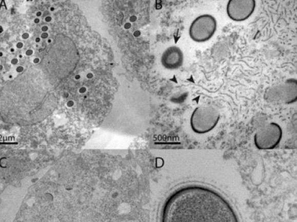
В российской Сибири ученые нашли гигантский доисторический вирус, который пробыл в замороженном состоянии около 30000 лет. Находку обнаружила группа исследователей из французского Национального центра научных исследований.Об открытии сообщил один из координаторов исследования, опубликованного в Записках Академии наук США, Жан-Мишель Клаври, пишет ТСН. Оказалось, что гигантский вирус может помочь в лечении заболевания глаз. Поэтому, ученые решили "разбудить" его, но перед началом процесса размораживания ученые должны выяснить уровень его опасности для живых организмов, иначе даже малейшая ошибка может спровоцировать трагические последствия. Вирус Mollivirus sibericum относится к классу гигантских вирусов с размером 0,6 микрон. Другие материалы: Готовьте елку летом: в Лондоне стартовала рождественская торговля (фото) Наиболее востребованные юридические услуги в 2015 году Видеонаблюдение — безопасность вашего имущества В то же время, ученые отмечают, что поскольку два из четырех гигантских вирусов были найдены в вечной мерзлоте, стоит задуматься, сколько опасных вирусов может "проснуться" в результате человеческой деятельности в арктических регионах, богатых на залежи полезных ископаемых. Ранее сообщалось, что в Африке палеонтологи обнаружили неизвестного предка человека. Найденные останки датируются периодом 100 тысяч лет назад и принадлежат существу, которое ученые назвали Homo Naledi. | |
|
12.09.2015 в 13:00 2041 Наука | |
Сегодня читают
| Комментариев: 0 | |
Войдите, чтобы оставить комментарий.
В российской Сибири ученые нашли гигантский доисторический вирус, который пробыл в замороженном состоянии около 30000 лет. Находку обнаружила группа исследователей из французского Национального центра научных исследований.