В Британии врачи напечатали пациенту грудную клетку на 3D-принтере | |
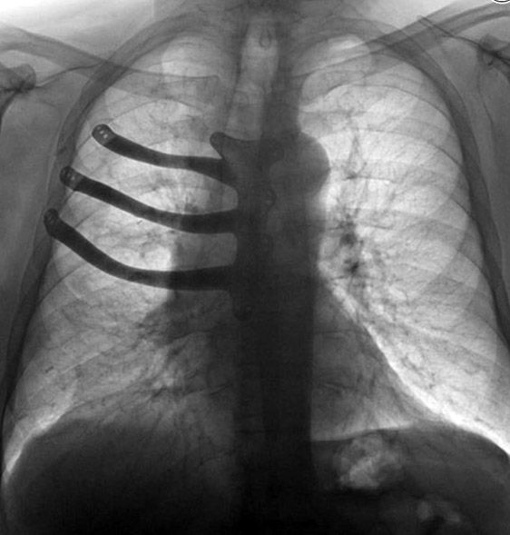
![]() Иллюстрация / Фото: из открытых источников Это один из первых имплантатов, напечатанных в Британии с помощью 3D-принтера
В британском госпитале Моррисон в городе Суонси во время операции по удалению раковой опухоли врачи реконструировали больному грудную клетку с помощью 3D-принтера, передает ВВС.Из-за большого размера раковой опухоли хирургам пришлось удалить 71-летнему Питеру Мэггзу еще три ребра и часть грудной кости. "Это было чревато серьезными повреждениями, способными нарушить работу всей грудной клетки, реконструировать которую было бы очень сложно", - рассказала хирург-кардиолог Айра Голдсмит. По ее словам, протез из медицинского цемента, который обычно отливают хирурги в таких случаях, пришлось бы делать прямо во время операции, одно это могло занять часа полтора. Но у пациента были и другие проблемы, в том числе с сердцем. Поэтому операцию необходимо было закончить как можно быстрее. ![]() Фото: wales.nhs.uk Удаленные кости британские врачи заменили заранее подготовленным титановым имплантатом, который был напечатан на 3D-принтере. В сообщении отмечается, что индивидуальный имплантат из титанового сплава был создан на основе компьютерной томографии пациента. Это один из первых имплантатов, напечатанных в Британии с помощью 3D-принтера. В итоге, 8-часовая операция прошла успешно, пациент говорит, что чувствует себя хорошо. | |
|
18.02.2018 в 08:58 867 Наука | |
| Комментариев: 0 | |
Войдите, чтобы оставить комментарий.

