В Китае любитель суши шокировал врачей (фото) | |
|
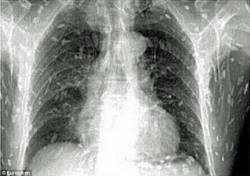
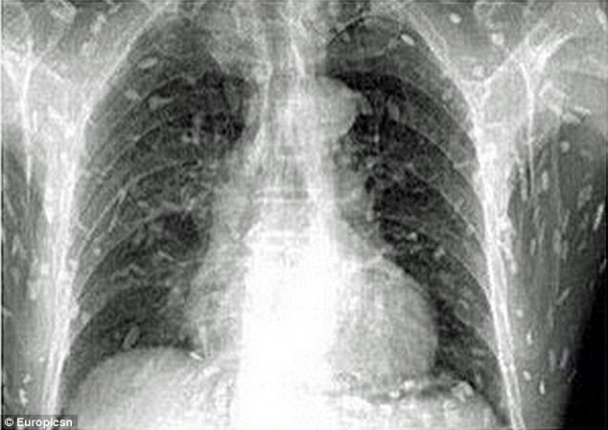
Рентген-снимки мужчины ужаснули врачей
В Китае в Гуанчжоу мужчина обратился в больницу с жалобами на сильные боли в животе и зуд кожи. После того как врачи получили рентген-снимки китайца, они ужаснулись: все тело мужчины было заражено солитером, сообщает ТСН.ua.Узнав, что пациент является большим любителем суши, врачи сделали вывод, что мужчина заразился червями-паразитами после употребления в пищу сашими. Исследования подтверждают, что употребление в пищу сырой или не достаточно хорошо доваренной рыбы может привести в результате к целому ряду паразитарных инфекций. Заражение червем-солитером возникает после попадания в организм личинок Diphyllobothrium, которые находятся в пресноводной рыбе, тем не менее, маринованной и копченой рыбы также могут содержатся личинки червей. Подобные случаи заражения все чаще встречаются в более развитых странах. Канадские врачи утверждают, что это неразрывно связано с растущей популярностью суши. Нэнси Крейг, автор исследования сделала вывод, что не только японские суши а также сашими могут стать источником заражения солитером, но и в принципе любые блюда из сырой либо маринованной рыбы. Читайте также: В Питере появился аппаратный LPG массаж Ученые: чай в пакетиках вреден для здоровья Ученые назвали самые эффективные диеты Доктор Инь из больницы в Гуанчжоу, куда попал зараженный китаец, заявил, что употребление сырой или полусырой пищи, загрязненной яйцами ленточных червей, в результате может привести к цистицеркозу, при которой взрослые черви попадают в кровь человека. В частности этот тип инфекционного заболевания является опасным для жизни человека, в том случае если он достигает головного мозга. | |
|
25.09.2014 в 15:30 1775 Здоровье | |
| Комментариев: 0 | |
Войдите, чтобы оставить комментарий.
В Китае в Гуанчжоу мужчина обратился в больницу с жалобами на сильные боли в животе и зуд кожи. После того как врачи получили рентген-снимки китайца, они ужаснулись: все тело мужчины было заражено солитером, сообщает ТСН.ua.
