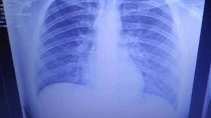
Врачи показали состарившиеся легкие 19-летнего вейпера (фото)

AOinformЗдоровье 23.09.2019 в 21:34 915 0 Обновлено: 12.09.2023
Врачи показали состарившиеся легкие 19-летнего вейпера (фото)
Фото: Facebook/Keith Mayo
Американец регулярно курил Вейп, пока не заболел и практически перестал дышать. Его легкие «забило» масло для вейпа.

Житель города Эри, США, 19-летний Энтони Майо шокировал врачей видом своих легких после курения вейпа. Об этом сообщает Metro US.

Парень попал в больницу в начале сентября с приступом удушья и серьезным кашлем. Сначала специалисты решили, что у парня бронхит. Но 15 сентября Майо доставили в отделение неотложной помощи. Сообщается, что уровень кислорода в организме парня составлял 36%, при том, что уровень ниже 90% считается критическим.

Врачи обнаружили в легких парня застывшее масло для вейпа. Они сравнили его с застывающим бетоном. Врачи ищут способ вновь "растопить" масло и вывести его из легких.

Сообщается, что парень регулярно курил вейп на протяжении двух лет. Сейчас его легкие похожие на легкие 60-летнего человека, выкуривающего по две пачки сигарет в день.

Специалисты подчеркивают, что из легких Майо выходила жидкость кроваво-красного, коричневого и темно-зеленого цвета. При этом его легкие получили такой ущерб, что орган может уже не восстановиться.

Аватар Rafael Карпова Рада
Журналист AOinform

23.09.2019 в 21:34 915 Здоровье
0.0
Комментариев: 0
Войдите, чтобы оставить комментарий.